Moses
-
seegucker
Re: Moses
Da kann ich Lena nur zustimmen!Zuckergoscherl hat geschrieben: Mi 29. Dez 2021, 17:41 Danke lieber Moses. Es ist so schön solche Fotos von dir zu sehen. Wenn man deine Geschichte nicht kennt, wird man nie glauben, daß du einen Handicap hast.
- Martina
- Beiträge: 399
- Registriert: Mo 21. Mär 2011, 11:42
- Wohnort: Duisburg
- Kontaktdaten:
Re: Moses
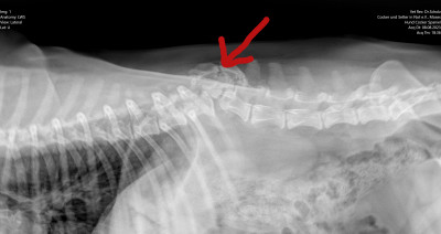
Wir waren mit Moses zur Kontrolle in der Tierklinik
Die "Bruch-"Stelle ist noch weiterzusammengewchsen, so dass der TA meinte, dass "wenn an Moses Rücken noch einmal etwas passieren würde, es an einer anderen Stelle sein würde, weil die Verletzungsstelle inzwischen äußerst stabil ist."
Das ist die vordere hochstehende Stelle, die hintere ist der Beckenknochen.
Die "Bruch-"Stelle ist noch weiterzusammengewchsen, so dass der TA meinte, dass "wenn an Moses Rücken noch einmal etwas passieren würde, es an einer anderen Stelle sein würde, weil die Verletzungsstelle inzwischen äußerst stabil ist."
Das ist die vordere hochstehende Stelle, die hintere ist der Beckenknochen.
mit freundlichen Grüßen
Martina
Was frommte mir eigner Wille?
Martina
Was frommte mir eigner Wille?
- Martina
- Beiträge: 399
- Registriert: Mo 21. Mär 2011, 11:42
- Wohnort: Duisburg
- Kontaktdaten: